نوروسافاری | شیمیدانها موفق شدند مغز مصنوعی بسازند که می تواند خاطرات را در نقره ذخیره کند. به نظر یکی از سازندگان، این فناوری می تواند طلیعه ای برای تکامل فرابشری و تولید ترابشریت باشد. 🔹رشد طبیعی باتوجه تقاضایی که این روزها برای ساخت مغز مصنوعی انسان وجود دارد، محققین …
ادامهی نوشتهالگوی فعالیتی مغز می تواند نشانه اولیه اسکیزوفرنی باشد
نوروسافاری | در مطالعه ای که می تواند تشخیص زودتر بیماری را محتملتر سازد، عصب شناسان اتصالات مغزی غیر طبیعی را یافتند که می تواند شروع یک دوره ی روانپریشی را پیش بینی کند. اسکیزوفرنی بیماری مغزی که توهم, هذیان و اختلالات شناختی را موجب می گردد معمولا هنگام بلوغ …
ادامهی نوشتهروشی جدید برای تشخیص نوع هوشیاری در بیماران
نوروسافاری | روشی مبتنی بر EEG می تواند به پزشکان کمک کند که بیماران مبتلا به آسیب های شدید مغزی را که با وجود عدم پاسخگویی به محرکها، قادر به انجام برخی از عملکردهای شناختی هستند، شناسایی کنند. در سال ۲۰۰۵، یک زن ۲۳ ساله در انگلیس در اثر یک …
ادامهی نوشتهکجای مغز مسئول پردازش تجربیات روحانی است؟
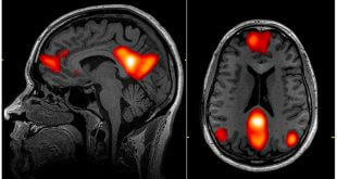
نوروسافاری | دانشمندان دانشگاه Yale توانسته اند محل نوروبیولوژیکی احتمالی برای تجربیات روحانی (حس متصل بودن به چیزی فراتر از خود) را مشخص کنند. طبق مطالعه ای که اخیرا در ژورنال Cerebral Cortex به چاپ رسیده است به نظر می رسد که “فعالیت قشر آهیانه ای” ناحیه ی از مغز …
ادامهی نوشتهبرای خودخواهان، آینده مفهومی ندارد: شواهدی از تصویربرداری مغزی
نوروسافاری | مطالعه ی جدیدی که با استفاده از تصویربرداری های مغزی انجام شده است نشان می دهد افرادی که خود را خودپسند یا خودخواه می دانند، زمانی که در حال تفکر در مورد آینده هستند، هیچ افزایشی در بخشی از مغز آن ها به نام Ventromedial prefrontal cortex …
ادامهی نوشتهاحساسات دیگران حس بویایی ما را تحت تأثیر قرار می دهد
نوروسافاری | این که آیا چیزی رایحه خوب یا بدی دارد به تنهایی به حس بویایی یک فرد وابسته نیست. حالات هیجانی چهره دیگران بر کیفیت ادراک (ادراک مثبت یا منفی) یک رایحه تأثیرگذار است. به گزارش نوروسافاری از دانشگاه بوخوم، به نظر میرسد اساس این تأثیر فعالیت ناحیه ای …
ادامهی نوشتهالکتروآنسفالوگرافی شناختی چیست؟ (قسمت اول)
این محتوا صرفا برای کاربران ویژه سایت در نظر گرفته شده است. اگر میخواهید به آن دسترسی داشته باشید به جمع کاربران ویژه سایت بپیوندید: لینک ورود به جمع کاربران ویژه
ادامهی نوشتهحالت “خلبان خودکار” مغز برای تصمیم گیری سریع
این محتوا صرفا برای کاربران ویژه سایت در نظر گرفته شده است. اگر میخواهید به آن دسترسی داشته باشید به جمع کاربران ویژه سایت بپیوندید: لینک ورود به جمع کاربران ویژه
ادامهی نوشتهمغز شما به راحتی هک میشود!
نوروسافاری | مخترعان و عصبشناسان امریکایی موفق به ساخت یک سیستم مانیتورینگ قابل حمل مغز شده اند که با نام iBrain شناخته میشود. این سیستم قادر است شبیه به یک دست مجازی در مغز بیمار عمل کند و نتایج حاصل از هرگونه اعمال و تغییر رفتار خود را روی نمایشگر …
ادامهی نوشتهچه ساعتی مغز آقایان خیلی افت میکند؟
نوروسافاری | کارشناسان در یک تحقیق با بررسی اسکن مغزی داوطلبان مرد در ساعتهای مختلف روز دریافتند فعالیت منطقه پوتامن مغزی که با بخش پاداش دهی در ارتباط است، در ساعات بعدازظهر افت عملکردی پیدا میکند. به گزارش نوروسافاری به نقل از یورکالرت، بر اساس جدیدترین پژوهشها مغز آقایان در …
ادامهی نوشته
نوروسافاری | دانش مغز و علوم اعصاب دانش مغز و علوم اعصاب. در این وبسایت خلاصه ای از مهمترین تحقیقات همه رشته های علوم اعصاب و مغز را می توانید به زبان ساده بخوانید. تلاش ما جهت هم افزایی بین رشته ای جهت پیشرفت بیشتر این علم است.