تاثیر داروی استاتین بر بیماران مبتلا به ام‌اس

4.8/5 - (6 امتیاز)

 

نوروسافاری | محققان UCL انگلیس دریافتند داروی سیمواستاتین که معمولا برای کاهش کلسترول تجویز می‌شود،‌ موجب بهبود بیماران مبتلا به ام اس پیش رونده ثانویه (SPMS) می‌شود.
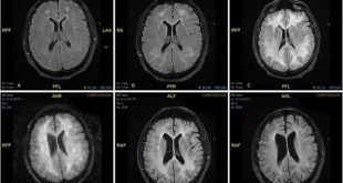
در این تحقیقات که با آزمایش روی ۱۴۰ بیمار مبتلا به SPMS انجام گرفت، بیماران به دو گروه تقسیم شدند.، گروه اول داروی سیمواستاتین را با میزان روزانه ۸۰ میلی‌گرم مصرف کردند و گروه دوم به مدت دو سال از دارونما استفاده کردند. این بیماران بین ۱۸ تا ۶۵ سال سن داشتند و شاخص وضعیت ناتوانی عمومی (EDSS) آن‌ها بین ۴ تا ۶٫۵ بود. در این تحقیقات حجم مغز، شاخص EDSS و کلسترول خون بیماران در طول دوره مصرف دارو بررسی شد و داوطلبان پرسشنامه‌هایی را در فواصل زمانی مشخص پر کردند تا اثر ام اس در زندگی روزمره آن‌ها مشخص شود. 
به گزارش نوروسافاری از دانشگاه یو سی ال، در نتیجه این تحقیقات مشخص شد میزان کاهش حجم مغز در گروهی که داروی سیمواستاتین را مصرف کردند ۴۳ درصد کمتر از گروه دوم بود. همچنین تغییر معیار EDSS و پاسخگویی به پرسشنامه‌ها در دو گروه دارای تفاوت اندکی بود. با وجود این که محققان دریافتند مصرف سیمواستاتین موجب تاخیر در تشدید ناتوانی بیماران و کاهش حجم مغز آن‌ها می‌شود، علت این امر هنوز به درستی مشخص نیست. 
مولتیپل اسکلروزیس ( MS ) یک بیماری خود ایمنی است که در آن سیستم ایمنی پاسخ غیر متعارفی به سیستم عصبی مرکزی‌ (CNS ) می‌دهد. سیستم عصبی مرکزی شامل مغز، نخاع و اعصاب بینایی است. سیستم ایمنی بدن به طور معمول عوامل خارجی مانند باکتری‌ها و ویروس‌ها را مورد هدف قرار می‌دهد؛ ولی در بیماری‌های خود ایمنی، به اشتباه بافت های نرمال از بین می‌روند.

بیشتر بدانید:  رژیم های شبیه به روزه داری "نشانه های بیماری ام اس را تخفیف می بخشند"

آشنایی با بیماری ام اس

در بیماری ام اس، سیستم ایمنی به میلین حمله می‌کند. میلین به غلاف چربی اطراف سلول های عصبی گفته می‌شود. میلین آسیب دیده سبب بوجود آمدن تصلب بافت (sclerosis) می‌شود که نام بیماری نیز از همین واژه گرفته شده است. 
زمانی که پوشش میلین یا بافت های عصبی آسیب می بینند، ارسال پیام های عصبی مختل می شود که عوارض مختلفی دارد. 
در حال حاضر بیش از ۲٫۳ میلیون نفر در سراسر جهان به ام اس مبتلا هستند و میزان آن در زنان تقریبا سه برابر مردان است.

بیشتر بدانید:  کاهش التهاب ناشی از ام‌اس با کمک سلول‌های ایمنی روده

انواع مختلف بیماری ام اس 

– ام اس پیشرونده مقدماتی 
در این نوع، نشانه های بیماری به طور پیوسته از زمان تشخیص بیماری سیر صعودی دارند. حمله ها مشخص نیستند و هیچ علامت بهبودی وجود ندارد. حدود ۱۰ تا ۱۵ درصد از بیماران، به این نوع از بیماری مبتلا می شوند. معمولا بیماری ام اس در افرادی که این مرحله را تجربه می کنند، دیر و در حدود ۴۰ سالگی تشخیص داده می شود. 
– نوع عودکننده – فروکش کننده 
حدود ۹۰ درصد بیماران، به این نوع مبتلا هستند. معمولا نشانه‌های اولیه بیماری در این افراد، در اوایل بیست سالگی دیده می‌شود. پس از آن در دوره‌های مختلف، بیماری عود می‌کند و در بین دوره‌ها، بیمار بهبودی نسبی دارد. معمولا بیمارانی که به این نوع مبتلا هستند، وارد مرحله دیگری از بیماری به نام پیشرونده ثانویه می‌شوند. 
– ام اس پیشرونده ثانویه 
در این نوع، علایم بیماری به طور پیوسته سال ها وجود دارد و هیچ عود یا بهبودی حاصل نمی‌شود. معمولا این حالت ۱۰ تا ۲۰ سال پس از تشخیص بیماری اتفاق می افتد. این نوع از بیماری معمولا منجر به از کار افتادگی بیماران می شود. 
– نوع پیشرونده عودکننده 
این نوع از بیماری بسیار نادر است و در آن بیماری در دوره‌های مشخص عود می‌کند و از یک حمله تا حمله بعدی، نشانه های بیماری شدیدتر می شود. حدود ۵ درصد از افراد به این نوع از بیماری مبتلا هستند. 
گزارش کامل این تحقیقات در نشریه Proceedings of the National Academy of Sciences منتشر شده است:

Applying causal models to explore the mechanism of action of simvastatin in progressive multiple sclerosis

لینک خبر:

Statins’ potential to treat MS unrelated to lowering cholesterol

ترجمه و نشر اولیه: ایرنا

بیشتر بدانید:  کشف نوع جدیدی از سلول‌های ایمنی عامل بیماری ام‌.اس

همچنین ببینید

دوره آموزشی پایتون از صفر (دوره ۳۲)

نوروسافاری | موسسه دانش بنیان آینده مغز، دوره جدید آموزش پایتون مقدماتی برگزار می کند: …

دیدگاهتان را بنویسید

نشانی ایمیل شما منتشر نخواهد شد. بخش‌های موردنیاز علامت‌گذاری شده‌اند *