این محتوا صرفا برای کاربران ویژه سایت در نظر گرفته شده است.
اگر میخواهید به آن دسترسی داشته باشید به جمع کاربران ویژه سایت بپیوندید:
دکتر میر شهرام صفری | Dr. Mir Shahram Safari 2017/10/07 دیدگاه 6,825 بازدید
این محتوا صرفا برای کاربران ویژه سایت در نظر گرفته شده است.
اگر میخواهید به آن دسترسی داشته باشید به جمع کاربران ویژه سایت بپیوندید:
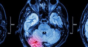
Tags brain cooling computer simulation epilepsy focal cooling seizure thermal modulation خنک کردن مغز روش سرد کردن صرع کنترل دمایی مغز مدلسازی محاسباتی
نوروسافاری | موسسه دانش بنیان آینده مغز، دوره جدید آموزش پایتون مقدماتی برگزار می کند: …
نوروسافاری | دانش مغز و علوم اعصاب دانش مغز و علوم اعصاب. در این وبسایت خلاصه ای از مهمترین تحقیقات همه رشته های علوم اعصاب و مغز را می توانید به زبان ساده بخوانید. تلاش ما جهت هم افزایی بین رشته ای جهت پیشرفت بیشتر این علم است.