این محتوا صرفا برای کاربران ویژه سایت در نظر گرفته شده است.
اگر میخواهید به آن دسترسی داشته باشید به جمع کاربران ویژه سایت بپیوندید:
دکتر میر شهرام صفری | Dr. Mir Shahram Safari 2017/10/16 دیدگاه 5,350 بازدید
این محتوا صرفا برای کاربران ویژه سایت در نظر گرفته شده است.
اگر میخواهید به آن دسترسی داشته باشید به جمع کاربران ویژه سایت بپیوندید:
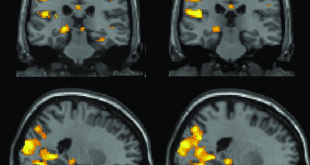
Tags brain hack DARPA downloadable learning enhanced leanrning learning meta human Neuroplasticity stimulation synaptic plasticity Targeted Neuroplasticity Training TNT training آپلود روی مغز ابر انسان انعطاف پذیری سیناپسی تحریک مغزی دارپا سرباز یادگیری سریع یادگیری قابل دانلود
نوروسافاری | موسسه دانش بنیان آینده مغز، دوره جدید آموزش پایتون مقدماتی برگزار می کند: …
نوروسافاری | دانش مغز و علوم اعصاب دانش مغز و علوم اعصاب. در این وبسایت خلاصه ای از مهمترین تحقیقات همه رشته های علوم اعصاب و مغز را می توانید به زبان ساده بخوانید. تلاش ما جهت هم افزایی بین رشته ای جهت پیشرفت بیشتر این علم است.