نقش افکار در رشد یک نوع تومور مغزی

Rate this post

brain-tumor-growth-stimulated-by-nerve-activity-in-the-cortex-stanford-study-finds-neuroinnovations

 

 نوروسافاری| مطالعات محققان دانشگاه استنفورد آمریکا نشان می دهد که افکار در رشد یک نوع بسیار خاص از تومورهای مغزی موثر است.

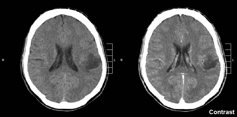
به گزارش نوروسافاری به نقل از ایرنا، این مطالعه نشان می دهد که هرچه افراد زمان بیشتری را برای تفکر در مورد مسایل مختلف، از جمله تحلیل یک فیلم یا تصمیم در مورد نوع غذای شام، صرف کنند، بافت غیر طبیعی این تومور خاص بزرگتر می شود. این تومور خاص وابسته به فکر، گلیوم پیشرفته (گلیوم درجه بالا) نام دارد.

مطالعات نمونه های حیوانی نشان می دهد که تومور مغزی برخی جوندگان، زمانی که سلول های عصبی فعالیت زیادی دارند، بزرگتر می شود و رشد آن سریعتر است.

محققان، سلول های سرطانی مغز موش را با استفاده از نور، تحریک و فعال کردند و نتایج نشان داد که رشد تومور به طرز شگفت آوری افزایش می یابد.

glioma-brain-scan

 

محققان احتمال می دهند که تومورها، سیگنال های شیمیایی را به خود اختصاص می دهند. مغز از این سیگنال های شیمیایی برای حمل اطلاعات و محافظت از خود استفاده می کند. سلول های تومور از این سیگنال ها به نفع خود استفاده می کنند و مدام بزرگ و بزرگتر می شوند.

021E6912000004B0-3054495-image-a-21_1429907907705

با انجام این آزمایش، مراحل رشد تومور در گلیوم پیشرفته کاملا مشخص شده است و محققان به دنبال روشی برای درمان هستند. آنان بر این باورند که با مسدودکردن مسیرهای شیمیایی که تومور برای رشد به آنان وابسته است، می توان فعالیت سلول های تومور مغزی را محدود کرد، زیرا نمی توان از مریض درخواست کرد که فکر نکند.

بیشتر بدانید:  بازیابی حافظه از دست رفته موش ها با استفاده از نور

از دید پایگاه ساینس، این خبر عجیب ترین و تکان دهنده ترین تیتر خبری در این هفته اعلام شده است.

نتایج این تحقیقات در نشریه cell منتشر شده است:

Neuronal Activity Promotes Glioma Growth through Neuroligin-3 Secretion

منبع اصلی خبر در سایت دانشگاه استنفورد:

Brain tumor growth stimulated by nerve activity in the cortex, study finds

همچنین ببینید

دوره آموزشی پایتون از صفر (دوره ۳۲)

نوروسافاری | موسسه دانش بنیان آینده مغز، دوره جدید آموزش پایتون مقدماتی برگزار می کند: …

دیدگاهتان را بنویسید

نشانی ایمیل شما منتشر نخواهد شد. بخش‌های موردنیاز علامت‌گذاری شده‌اند *