نوروسافاری| نتایج یک مطالعه نشان می دهد که ارتباط قوی میان دو منطقه از مغز علت اصلی موفقیت افراد در ترک سیگار است.
به گزارش نوروسافاری به نقل از ایرنا، سیگار کشیدن معمولا به عنوان عادتی تلقی می شود که ترک آن بسیار سخت است و افرادی که موفق می شوند این عادت را کنار بگذارند معمولا به دلیل وجود یک ارتباط قوی میان دو منطقه از مغز آنهاست تا استفاده از هر محصول و یا روش دیگر.
بر اساس نتایج یک مطالعه که توسط محققان دانشکده پزشکی دانشگاه دوک آمریکا انجام شد، افزایش ارتباط میان دو منطقه از مغز، دلیل احتمالی موفقیت برخی افراد سیگاری در ترک این عادت نسبت به سایر افراد است.
محققان در این مطالعه ۸۵ نفر را که سیگار می کشیدند مورد بررسی قرار دادند.
محققان این افراد را یک ماه قبل از ترک این عادت و ۱۰ هفته پس از کنار گذاشتن سیگار کشیدن تحت ام.آر.آی قرار دادند.
نیمی از این افراد قبل از به اتمام رسیدن این مطالعه ۱۰ هفته ای دوباره به سیگار کشیدن روی آوردند.
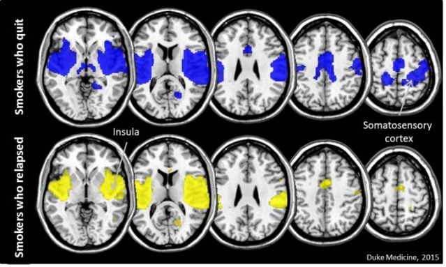
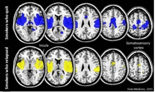
اما ۴۴ نفر از آنها موفق شدند که سیگار کشیدن را بطور موفقیت آمیزی کنار بگذارند؛ نتایج مطالعه محققان از روی ام.آر.آی این افراد نشان داد که در تمامی آنها دو قسمت از مغزشان به نام اینسولا و قشر somatosensory ارتباط زیادی بهم داشت.
این مطالعه نشان داد که ارتباط میان این دو قسمت از مغز برای ترک سیگار مهم است.
اینسولا، بخشی از مغز است که کنترل میل و هوس را بر عهده دارد؛ پیش از این مطالعات نشان داده بودند که این منطقه زمانی که افراد سیگاری طلب سیگار می کنند، فعال می شود.
از سوی دیگر قشر حسی-پیکری (somatosensory) مغز ، کنترل کارکردهای حسی و حرکتی را بر عهده دارد. این مطالعه نشان داد که ارتباط میان دو بخش اینسولا و قشر somatosensory در افرادی که موفق شدند سیگار را ترک کنند، بیشتر بود.
نتایج این مطالعه در مجله Neuropsychopharmacology منتشر شده است:
نوروسافاری | دانش مغز و علوم اعصاب دانش مغز و علوم اعصاب. در این وبسایت خلاصه ای از مهمترین تحقیقات همه رشته های علوم اعصاب و مغز را می توانید به زبان ساده بخوانید. تلاش ما جهت هم افزایی بین رشته ای جهت پیشرفت بیشتر این علم است.
