ژن اوتیسم باعث کاهش مراوده بین سلولهای مغزی می شود

1/5 - (1 امتیاز)

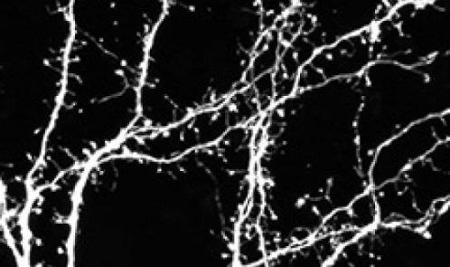
نوروسافاری | محققان مطلب مهمی را در مورد پروتئین DIXDC1 کشف کرده اند که به سلولهای مغز دستور می دهد تا کانال ارتباطی بالغی موسوم به سیناپس را با سایر سلولهای مغز و در حین رشد، شکل دهند.

سلولهای مغز با همسایه های خود شبکه ای ارتباطی و مو مانندی را تشکیل می دهند که از یک سلول و همانند بازوهایی منشعب، بیرون می زند و به سلولهای دیگر وصل می شود. این روابط و اتصالات برای یادگیری حائز اهمیت هستند.

بیشتر بدانید:  کشف تغییرات مشترک مغزی در کودکان مبتلا به اوتیسم، ADHD و OCD

در افرادی که به اوتیسم مبتلا هستند، تعداد این اتصالات ارتباطی صحیح نیست و این باعث بروز مشکلاتی در این افراد برای تشکیل خاطرات جدید و رشد مهارتهای اجتماعی می شود.

به گزارش نوروسافاری به نقل از وبسایت دانشگاه مکمستر، دانشمندان انستیتو تحقیقات سرطان و سلولهای ساقه مغز دانشگاه McMaster با همکاری بیمارستان Sick Children، تغییراتی ژنتیکی را در ژن DIXDC1 و در افراد مبتلا به اختلالات طیفی اوتیسم (ASD) کشف کرده اند.

مشخص شده است که این ژن، شیوه رشد سلولهای مغز و ارتباط آنها با یکدیگر را تغییر می دهد. این یافته ها در نشریه Cell Reports منتشر شده و دیدگاههای جدیدی را در مورد ASD فراهم ساخته و باعث شناسایی داروها و درمانهای جدیدی برای افراد مبتلا به ASD خواهد شد.

این بدان جهت اهمیتی حیاتی دارد که ASD بر یک نفر از هر ۶۸ نفر تاثیر می گذارد و هیچ درمانی هم در حال حاضر وجود ندارد که نشانه های اصلی این اختلال ترکیبی و پیچیده را هدف قرار دهد.

این مطالعه به رهبری کارون سینگ، یکی از دانشمندان انستیتو تحقیقات سرطان و سلولهای ساقه مغز (SCCRI) و استادیار علوم بیوشیمی و بیوپزشکی در دانشکده‌پزشکی دانشگاه McMaster، صورت گرفته است.

بیشتر بدانید:  معکوس کردن علایم اوتیسم با روشن کردن بیان یک ژن!

محققان کشف کرده اند که یک بخش دکمه مانند مهم در پروتئین ژن DIXDC1 وجود دارد که به سلولهای مغز دستور می دهد تا پیوندهایی کامل و بالغ موسوم به سیناپس را با سایر سلولهای مغز و در حین رشد مغز، شکل دهند.

در همکاری با متخصص ژنتیک، Stephen Scherer از بیمارستان Sick Children و دانشگاه تورنتو، این تیم تغییراتی ژنتیک را شناسایی کرده است که در گروه افراد مبتلا به اوتیسم باعث خاموشی و غیر فعال شدن ژن DIXDC1 می شود و پیش بینی شده است که این تغییر باعث می شود سیناپسهای مغز ناقص بمانند و بدین ترتیب فعالیت مغز کاهش یابد.

سینگ بیان داشته که ما با دقت این را بررسی کردیم که چرا DIXDC1 در برخی فرمهای اوتیسم غیر فعال می شود و در آزمایشگاه SCCRI که متخصص در امر اکتشاف دارو می باشد، اکنون فرصتی برای تحقیق و جستجوی داروهایی فراهم شده که باعث می شوند دوباره این ژن فعال شود و اتصالات سیناپسی اصلاح شوند.

این مطلب مهیج است زیرا برخی داروها می توانند پتانسیل این را داشته باشند که بعنوان درمانی جدید برای اوتیسم، بکار گرفته شوند.

بیشتر بدانید:  تست بویایی 'ممکن است' به تشخیص اوتیسم کمک کند

در حالیکه این کشف می تواند نویدبخش باشد، جهش های ژنی در DIXDC1 تنها بخش کوچکی از افراد مبتلا به اوتیسم و شرایط روانپزشکی مربوطه را به خود اختصاص می دهد. با این حال شواهدی قوی وجود دارد مبنی بر اینکه بسیاری از ژنهای دیگر اوتیسم، همانند DIXDC1 مانع از رشد سیناپسها می شوند و لذا نکته‌کلیدی برای درمان جدید اوتیسم این است که باید داروهایی ایمن را پیدا کرد که فعالیت و رشد سیناپسهای سلولهای مغز را باز گردانند.

Mick Bhatia مدیر SCCRI بیان داشته که این کشف، ورود استراتژیک این انستیتو را به عرصه بیماری نورونهای مغز و توسعه داروهایی شخصی شده براساس ژنتیک مربوطه را توجیه می کند.

بیشتر بدانید:  زنان به طور ژنتیکی از ابتلا به اوتیسم محافظت شده اند.

این اولین گام است و انستیتو SCCRI هنوز راه زیادی برای تاثیرگذاری بر سلامت انسان از طریق تحقیقات مربوط به سلولهای مغز در پیش دارد. وی افزود که علاوه بر این، تیم سینگ حمایتهایی را از سوی دیوید بارلی رئیس تحقیقات سلولهای عصبی ساقه‌مغز، دریافت نموده است.

ترجمه و تلخیص: ندا میهمی – وبسایت نوروسافاری

بیشتر بدانید:  علت حساسیت بیشتر کودکان اوتیسم به محرک‌های حسی

لینک گزارش این تحقیق در ژورنال Cell Report:

DIXDC1 Phosphorylation and Control of Dendritic Morphology Are Impaired by Rare Genetic Variants

لینک گزارش خبری دانشگاه مکمستر:

McMaster scientists discover autism gene slows down brain cell communication

همچنین ببینید

دوره آموزشی پایتون از صفر (دوره ۳۲)

نوروسافاری | موسسه دانش بنیان آینده مغز، دوره جدید آموزش پایتون مقدماتی برگزار می کند: …

دیدگاهتان را بنویسید

نشانی ایمیل شما منتشر نخواهد شد. بخش‌های موردنیاز علامت‌گذاری شده‌اند *