تاثیر تمرینات معنوی بر مغز: ذهن_آگاهی علمی است؟

5/5 - (1 امتیاز)

 

ذهن_آگاهی

نوروسافاری | محققان در حال مطالعه این موضوع هستند که تغییرات در مغز بیماران مبتلا به افسردگی چگونه است. در سال ۲۰۱۵ تعداد ۱۶٫۱ میلیون آمریکایی تجربه ی افسردگی حاد خود را در سال قبل از آن گزارش داده اند به طوری که اغلب آن ها در عملکرد شخصیشان با هجوم تاریکی و ناامیدی فلج کننده ای در ستیز بوده اند.

مجموعه ای از درمانها شامل گفتار درمانی و داروهای ضدافسردگی در دسترس است  اما موضوع ناامیدکننده این است که این روش ها برای درمان تمام بیماران جواب نمی دهند.

به گزارش نوروسافاری به نقل از دانشگاه هاروارد، بنجامین شاپرو آموزشیار روان پزشکی در مدرسه ی پزشکی هاروارد و روانشناس  برنامه تحقیقاتی و بالینی افسردگی بیمارستان عمومی ماساچوست می گوید: بسیاری از افراد به مداخلات درمانی خط مقدم در برخورد با بیماری پاسخ نمی دهند. رفتارشناختی درمانی فردی برای بسیاری از مردم کمک کننده است, داروهای ضد افسردگی نیز به بسیاری از مردم کمک می کنند اما مواردی نیز وجود دارد که بسیاری از مردم از اثربخشی این موارد بی بهره اند لذا نیاز شایان توجهی به رویکردهای جایگزین وجود دارد.

شاپرو همراه با گایل دزبوردز آموزشیار رادیولوژی در HMS و متخصص مغز و اعصاب در مرکز MGH’s Martinos برای تصویربرداری زیست پزشکی در جهت  یافتن رویکرد جایگزین یعنی مراقبه مبتنی بر ذهن-آگاهی [۱] در حال فعالیت اند.

علاقه عمومی در سالهای اخیر

در دهه های اخیر، علاقه عمومی به مراقبه  مبتنی بر ذهن-آگاهی افزایش یافته است و همگام شدن و فراهم آمدن پذیرش رو به رشد مردم توجه علمی را افزایش  داده است. تعداد آزمایشهای کنترل شده ی با انتخاب به صورت تصادفی – استاندارد طلایی برای مطالعه بالینی – با محوریت ذهن-آگاهی، با توجه به مقاله اخیر از خلاصه ی یافته های علمی در ارتباط با این موضوع، از یک آزمایش در سالهای ۱۹۹۵-۱۹۹۷ به ۱۱مورد درسالهای۲۰۰۴-۲۰۰۶ و با یک افزایش قابل توجه به  ۲۱۶ مورد  در ۲۰۱۳ تا ۲۰۱۵ رسیده است.

مطالعات، مزایای این روش را در هنگام مواجه با برخی شرایط جسمانی و روانی از جمله سندرم روده تحریک پذیر،فیبرومیالژیا، پسوریازیس، اضطراب، افسردگی و اختلال استرس بعد از حادثه  نیز نشان داده اند. اما بعضی از این یافته ها به علت کوچک بودن جامعه آماری نمونه ها یا اشکالاتی در طراحی مطالعه، مورد پرسش هستند. با این حال برخی زمینه های کلیدی شامل  افسردگی، درد مزمن و اضطراب نیز وجود دارند که درارتباط با این موضوع، مطالعاتی هستند که به خوبی طراحی و انجام شده اند، برای بیمارانی که در برنامه مراقبه مبتنی بر ذهن-آگاهی شرکت کرده اند، مزیت هایی و نیز اثراتی مشابه با دیگر درمان های موجود را تجربه کرده اند.

تا چه حد موثر است؟

دزبوردز عقیده دارد چندین برنامه کاربردی محدود که شواهد قابل اعتماد ارائه می دهند وجود دارد اما اثرات آن ها به هیچ وجه شایان توجه نیستند. ما در مورد اندازه اثر نسبی در مقایسه با دیگر درمان ها صحبت می کنیم نه اثر بهتر از آن ها. لذا مجموعه ای  از موارد دیگر در دست مطالعه است که شواهد اولیه آن ها دلگرم کننده بوده اما به هیچ وجه قطعی نیست و من فکر میکنم این بخش مورد توجه است اما مطمئن نیستم که عموم مردم دقیقا چطوراین مساله را در این نقطه از بحث درک می کنند. علاقه ی دزبوردز به این مبحث از تجربه ی شخصی او نشات می گیرد. او مراقبه را به عنوان یک دانشجوی فارغ التحصیل رشته علوم اعصاب محاسباتی در دانشگاه بوستون برای رهایی از استرس و نا امیدی در زندگی تحصیلی اش آغاز کرد. تجربه اش او را متقاعد کرد که  با تمرین مراقبه یک اتفاق واقعی درحال رخ دادن برای او بود که او را به مطالعه ی دقیق تر این موضوع و نیز با امید به تکمیل و نشرو پی ریزی یک روش درمانی که ممکن بود به دیگران کمک کند، وا داشت.

دزبوردز می گوید: منشا علاقه ی شخصی من از اشراف بر تمرین تکنیک های مراقبه و مشاهده اثربخشی آن ها است. لذا به عنوان یک دانش پژوه در من سوال هایی از این قبیل ایجاد شدند که این رویکرد چطور عمل می کند؟چطور بر من اثرگذاشته است؟ و نیز نیاز به درک مکانیسم ها برای اطمینان از اینکه این روش می تواند به دیگران نیز کمک کند؟ اگر ما بخواهیم این روش تبدیل به یک درمان یا یک مورد قابل ارائه در جامعه شود ما باید (مزایای آن را) از نظر علمی اثبات کنیم.

روش بررسی

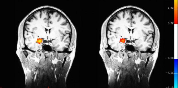
دزبوردز در پژوهش خود از fMRI بهره گرفت که با این روش نه تنها عکس هایی از مغز تهیه کرد بلکه گزارشات رخداد فعالیت مغزی طی اسکن نیز ثبت گردید. در سال ۲۰۱۲ او شرح داد که تغییرات در فعالیت مغز در افراد مورد آزمایش که مراقبه را فراگرفته بودند حتی هنگامی که آن ها در حال مراقبه نبودند، به طور ثابت حفظ شده بود. دزبوردز، اسکن هایی از قبل و بعد مغز افراد مورد آزمایش که مراقبه را طی یک دوره دو ماهه فراگرفته بودند، تهیه کرد.او این اسکن ها را نه تنها در زمان مراقبه بلکه زمانی که کیس های مورد مطالعه در حال انجام کارهای روزمره خود بودند نیز تهیه کرد.

با این حال در اسکن ها هنوز تغییرات درالگوهای فعالیت های مغزی نمونه های مورد آزمایش از ابتدا تا آخر مطالعه قابل تشخیص بود، اولین بار چنین تغییری در بخشی از مغز به نام آمیگدال شناسایی شد.

بیشتر بدانید:  اضطراب درک مغز از واقعیت را به هم می ریزد/تعمیم افراطی

مطالعه آتی

او در کار اخیر خود در حال بررسی اثرات مراقبه بر روی مغز افرادی است که از نظربالینی به افسردگی مبتلاهستند، گروهی که مطالعات نشان داده اند مراقبه بر روی آن ها موثر است. دزبوردز در حال تهیه و بررسی اسکن های fMRI قبل و بعد یک دوره ی هشت هفته ای دوره شناخت درمانی مبتنی بر ذهن آگاهی [MBCT[2 در گروهی است که توسط شاپرو غربال و انتخاب شده اند.

در زمان تهیه این اسکن ها، شرکت کننده ها دو بخش آزمایش را کامل می کنند. بخش اول که بیماران را تشویق می کند تا با تمرکز بر روی ضربان قلب خود (یک ورزش مرتبط با آگاهی ذهن) در مورد بدنشان بیشتر آگاه شوند و بخش دیگر که از آن ها می خواد تا روی عبارات رایج در تفکر بیماران افسرده (درجهت تغییر آن) تامل کنند (درجهت تغییرآن)عباراتی مانند: من بازنده ام یا من نمیتوانم ادامه بدهم. پس ازآن، از شرکت کنندگان خواسته می شود تا از فکر کردن در مورد  این عبارات و افکار محرک دست بکشند.

محققان سرعت دست کشیدن افراد از افکار منفی (یک عمل دشوار در افراد مبتلا به افسردگی)را اندازه گیری خواهند کرد. فرایند برای یک گروه کنترل نیز تکرار خواهد شد که این گروه تحت تمرین، ریلکس کردن عضلانی و آموزش درمورد افسردگی به جای MBCT قرار گرفته اند. درحالی که امکان پذیر است که در بیماران در گروه کنترل همچنین علائم افسرده کننده کاهش یابد. نظر دزبوردزاین است  تفاوتی که ممکن است در اسکن ها آشکارشود ، باید درطی مکانیسم های مختلف در مغز رخ دهد. این کار که بودجه ی مرکز ملی سلامت تکمیلی و یکپارچه را دریافت کرد، از سال ۲۰۱۴ در دست بحث است و مورد انتظار است که در سال ۲۰۱۹ به پایان برسد.

دزبوردز می خواهد یک فرضیه شایع در مورد اینکه MBCT چگونه در بیماران مبتلا به افسردگی عمل میکند آزمایش کند: اینکه تمرین هشیاری بدن را در لحظه افزایش می دهد، تعامل [۳] نام دارد که با تمرکز بر توجه بر زمان حال یعنی حالا و همین لحظه، شرکت کنندگان چرخه عدم توانایی کنترل افکار درباره خود [۴] را می شکنند. ما سیستم های مغزی درگیر در تعامل را می شناسیم و ما آن دسته که درگیر عدم توانایی کنترل افکار درباره خود ون یز میتلایان به افسردگی را می شناسیم. من می خواهم بعد از انجام MBCT آزمایش کنم که ببینم آیا تغییراتی در این شبکه ها می بینیم خصوصا در انجام کارهایی که آن ها را درگیر می کند یا نه؟ دزبوردز عضوی از جامعه محققین هاروارد و  موسسات وابسته به آن است که در دهه های اخیر با این مساله که آیا و چگونه مراقبه اثر گذار است درگیراست.

تحقیقات دیگر

هربرت بنسون، استاد دانشکده پزشکی هاروارد و بیمارستان بث اسراییل، در سالهای ۱۹۷۰، زمانی که محبوبیت مراقبه متعالی [۵] به اوج رسید چیزی را کشف کرد که پاسخ آرامشی [۶] نامیدش که به معنی جنبه عملکردی رایج مراقبه متعالی، یوگا و دیگر اشکال مراقبه، مانند یک نماز مذهبی عمیق است. بنسون این پاسخ را با پاسخ ناشی از body’s adrenalin-charged پاسخ fight or flight” که توسط والتر کانون برادفورد فیزیولوژیست در سال ۱۹۱۵ در دانشگاه هاروارد شناسایی شده بود، متضاد دانست؛ هرچندکه محققین اخیر اذعان داشتند که این مساله دقیقا آنطور نیست که او تصور می کرد.

دیگر محققان  [MGH [7 همچنین  در حال بررسی اثرات مراقبه بر بدن هستند، از جمله سارا لازار، که در سال ۲۰۱۲ از fMRI استفاده کرد تا نشان دهد که مغز افراد پس از یک دوره مراقبه هشت هفته ای ضخیم تر شده است. کار در یک موسسه Benson-Henry MGH در مرکز HMS و Brigham و مرکز بیمارستان زنان Oserg برای پزشکی تکمیلی، در اتحاد سلامت کمبریج وابسته به دانشگاه هاروارد، جایی که زوف شومن-اولیویه مرکزی برای ذهن آگاهی و شفقت [۸] را هدایت می کند، و نیز در میان گروهی  نزدیک به دوازده محقق در هاروارد و دیگر موسسات شمال شرقی، از جمله دزبوردز و لازار، که از طریق همکاری پژوهشی ذهن آگاهی همکاری می کنند، ادامه دارد.

چالشها

در میان چالش هایی که محققان با آن مواجه  می شوند تعریف و تعیین ذهن-آگاهی است. این کلمه برای توصیف یک تمرین مبتنی بر مراقبه استفاده می شود که هدف آن افزایش حس بودن فرد در زمان حال است اما همچنین برای توصیف حالتی به دور از مراقبه است که طی آن، انجام دهندگان این فعل، به دور از آنچه ممکن است موجب اختلال حواس و حواس پرتی شود قرار می گیرند تا توجه بیشتری به حالا و همین لحظه داشته باشند دقیقا مشابه کاری که الن لانگر روانشناس در هاروارد انجام می دهد.

چالش دیگر شامل مرتب سازی و طبقه بندی از میان تغییرات و دگرگونی های زیاد تمرین مراقبه است.

تشابه با عبادات مذهبی

اکتشاف علمی اخیر عمدتا بر تمرین سکولار (دنیوی و غیرروحانی) مراقبه ذهنی متمرکز شده است، اما مراقبه با اندکی تغییرات همچنین جزء چندین سنت مذهبی باستانی است. حتی در خود جامعه، در تمرین سکولار مراقبه ذهنی تنوعاتی وجود دارد که ممکن است به طور قابل توجهی معنادار باشد. برای مثال: چطور یک مراقبه گر به مراقبه می پردازد و طول مدت جلسات چقدر است. خود دزبوردز به یک نوع مراقبه به نام مراقبه شفقت [۹] علاقه دارد که هدف آن افزایش توجه به افرادی است که در پیرامون ما هستند.

بیشتر بدانید:  بهبود آثار سکته مغزی با داروی جدید

با وجود این تنوع،  یک دوره ی هشت هفته ای  کاهش استرس مبتنی بر ذهن آگاهی که در سال ۱۹۷۰ توسط جان کبات زین در مرکز پزشکی دانشگاه ماساچوست انجام شد به یک استاندارد علمی و بالینی تبدیل شده است. دوره شامل جلسات هفتگی دو و نیم ساعته تمرین گروهی است که ۴۵ دقیقه از کار روزانه بر روی خود فرد انجام می شود و یک عزلت فردی می باشد.

شناخت درمانی مبتنی بر ذهن-آگاهی که در کار اخیر دزبوردز استفاده می شود یک تنوع در این برنامه است و مواردی از شناخت درمان رفتاری [۱۰] را شامل می شود که شامل گفت و گو درمانی در درمان افسردگی می باشد.

درنهایت دزبوردز اذعان داشت علاقه مند است که دریابد چه بخشی از مراقبه می تواند علیه افسردگی عمل کند. اگر محققات می توانستند عناصری را که موثرند شناسایی کنند درمان ممکن بود با اندکی تغییرات در جهت بهبود آن، موفق ترباشد. شاپرو نیزبه استفاده ازتحقیق و مطالعه در بهبود روش درمان علاقه مند است. از آنجاییکه برخی بیماران از ذهن-آگاهی بهره می برند و برخی نه، او علاقه مند است که چگونگی تمایز بین این دو را درک کند. به گفته دزبوردز زمانی که ما می دانیم کدامیک از عناصر موفق اند، ما می توانیم آن عمل را بیشتر انجام دهیم و همینطور اعمالی که کمتر موثرند را کمتر به کاربریم. بودجه پژوهشی از طرف مرکز ملی سلامت تکمیلی و یکپارچه تامین شده است.

قسمت دوم

دریک شب زمستانی سرد، شش زن و دو مرد در سکوت در یک دفتر نزدیک میدان هاروارد نشسته بودند و مراقبه ذهن-آگاهی را تمرین می کردند. آن ها درحالی که سر و تنه خود را بالا نگه داشته بودند چشمهایشان را بسته بودند و کف دست هایشان روی پاها در حالت استراحت و پاها به حالت کشیده روی کف اتاق قرار داشت، نشسته بودند. آن ها در حال گوش دادن به صحبت های مربی دوره، سوزان وستبروک بودند که آن ها را راهنمایی می کرد تا با توجه به احساسات بدنی، افکار  و احساسات روانی و خصوصا تنفس خود بر روی زمان حال تمرکز کنند. نظر وستبروک این است که ذهن ما تمام اوقات غیرمتمرکز و سرگردان است و یا در حال مرور گذشته و برنامه ریزی برای آینده است. وستبروک پیش ازآن که بازنشسته شود، ژوئن گذشته یک دکتر داخلی مراقب، برای دانش آموزان هاروارد بود. ذهن آگاهی  به شما مهارت توجه به زمان حال را می دهد با متوجه کردن شما هنگامی که ذهن شما غیرمتمرکز است و منحرف می شود. به توجه به تنفس خود برگردید این حالتی است که ما میتوانیم استراحت کنیم و ذهن خود را آرام کنیم. کلاس آموزشی وستبروک بخشی از یک برنامه  ۸هفته ای با کمک به کاهش استرس بود.

آمار چه می گوید

مطالعات  نشان می دهند از هر ده آمریکایی هشت نفر در زندگی روزانه تجربه ی استرس دارند و زمان مناسب و کافی برای استراحت و رهاسازی بدن خود و آرام سازی ذهنشان ندارند که این مساله آن ها را در معرض بیماری قلبی، سکته و دیگر بیماری ها قرار می دهد.  از بین راه های بیشماری که جهت مبارزه با استرس ارائه شده است از ورزش تا یوگا و مراقبه، مراقبه مبتنی بر ذهن-آگاهی بهترین متاع در جهان سلامت است.

مراکز ارائه خدمات

پس از آنکه برنامه کاهش استرس مبتنی بر ذهن-آگاهی  در سال ۱۹۷۹ توسط جون کابات زین برای مقابله با استرس، درد مزمن و دیگر بیماری ها و نارحتی های مزمن ایجاد شد، دوره ی ذهن-آگاهی این روزها  در مکان های مختلفی از جمله مدارس تا زندان ها و حتی تیم های ورزشی یافت می شود. حتی ارتش امریکا به تازگی با این برنامه تحت عنوان افزایش سازگاری ارتشی بهره گرفته است.

هاروارد چندین کلاس ذهن اگاهی  و مراقبه ارائه داده است شامل یک فرصت بهاره بازپروری که در ماه مارس برای دانش آموزان مرکز ارتقا سلامت و بهداشت برگزار شد. دفتر کار/ زندگی برنامه های خود را برای مدیران و کارکنان ارائه می دهد، همچنین جلسات مراقبه هفتگی در محوطه دانشگاه، مراجع مراقبه جهت هدایت آنلاین و حتی یک خط تلفن جهت مراقبه۴-CALM (در ۶۱۷٫۳۸۴٫۲۲۵۶) ارائه می دهد.

جین مهون، مدیر مرکز سلامتی می گوید”ما وظیفه داریم راه هایی را برای جامعه برای مقابله با استرس پیدا کنیم. و در عین حال، تحقیقات زیادی درباره مزایای ذهن-آگاهی  و مراقبه صورت گرفته است “، “ما به خاطر بازخوردهایی که دریافت کرده ایم  به  پیشنهاد دادن روش مراقبه و ذهن آگاهی ادامه می دهیم. مردم از داشتن شانسی برای self reflection یا ظرفیت انسان برای انجام خودآزمایی و تمایل به یادگیری بیشتر در مورد ماهیت، هدف و ذات بنیادش و یادگیری راه  های جدید برای برقراری ارتباط با خودشان استقبال می کنند. ماهون می گوید: بیش از ۷۵۰ دانشجو در سال ۲۰۱۲ از برنامه مراقبه و ذهن آگاهی شرکت کرده اند. بخشی از درخواست خودآگاهی ذهن در ورای این حقیقت است که یک فعالیت دنیوی است. راهبان بودایی از ورزش های ذهن-اگاهی به شکل مراقبه برای مدتی بیش از ۲۶۰۰ سال بهره گرفته و آنها را به عنوان یکی از مسیرهای روشنگری شناخته اند. اما در برنامه کاهش استرس مبتنی بر ذهن-اگاهی ، مذهب با آن عجین نشده است و رنگ و روی مذهب بر آن ننشسته است.

بیشتر بدانید:  زنان به طور ژنتیکی از ابتلا به اوتیسم محافظت شده اند.

کاهش استرس

محبوبیت ذهن آگاهی توسط یک تحقیق رو به رشد حمایت می شده است که بیان می دارد این روش استرس و اضطراب را کاهش می دهد، توجه و حافظه را بهبود می بخشد و خودتنظیمی و همدلی را افزایش می دهد. چندین سال قبل یک مطالعه توسط سارا لازار، دانشمند عصب و استاد روانشناسی دانشکده پزشکی هاروارد  و دستیار محقق روانپزشکی بیمارستان عمومی ماساچوست، اولین شخصی بود که ثبت کرد مراقبه ذهن آگاهی می تواند ماده خاکستری مغز و نواحی مغزی مرتبط با حافظه، حس به خویش (تصویری که از خودمان داریم) و تنظیم احساساسات را تغییر دهد.
تحقیقات جدید بنجامین شاپرو و ​​گالیل دزبوردز، به بررسی این مساله می پردازد که ذهن-آگاهی چگونه می تواند به افسردگی کمک کند. پیشگام تحقیقات علمی در مورد مراقبه، هربرت بنسون بود، که در اوایل سال ۱۹۷۵ منافع مراقبه را بر روی بدن انسان تحسین کرد از جمله کاهش فشار خون، ضربان قلب، و فعالیت مغز.او به شفاف سازی مراقبه با نامیدن آن به نام پاسخ آرامشی کمک کرد. بنسون مدیر بازنشسته موسسه پزشکی ذهن/بدن بنسون هری در بیمارستان عمومی ماساچوست و پروفسور برجسته موسسه پزشکی ذهن و بدن  HMS است.

در سال  ۱۹۸۰، تبدیل شدن ذهن خودآگاهی  به یک کلمه رایج و کلیدی ،موجب فراخواندن پاول فولتون روانشناس بالینی  که  درذن و مراقبه بینشی vipassana برای بیش از۴۰ سال تمرین کرده بود، شد. او در میانه سال۱۹۸۰ هنگامی که او در میان راهبان بودایی  به انجام تز دکترای خود با ماهیت “خویشتن” می پرداخت  و زمانی که  صحبت از مراقبه در مفهوم پزشکی درمیان دانشمندان ناخوشایند بود فراخوانده شد. فلوتون سخنران روانشناسی در دپارتمان روانپزشکی در HMS و بنیان گذار موسسه ای برای مراقبه و روان درمانی می گوید به تدریج و درنتیجه ی تحقیق ها، مراقبه به امری خوشایند و باب روز تبدیل شد و دیگر ناخوشایند نبود. و اکنون  به شدت فراگیرشده است.

ملانی دنهام مربی سرپرست تیم راگبی زنان هاروارد به تازگی  یک کارگاه آموزشی ذهن-آگاهی با هدف همراه کردن تکنیک ها با برنامه تمرینی بازیکنانش،  برگزار کرده است تا به آن ها کمک کند در شرایط فشارهای انتظار و عملکرد [۱۱] سازگار شوند. دنهام می گوید داخل و خارج از کلاس این دانش آموزان ورزشکار با یک فرهنگ رقابتی اشباع شده اند. این استرس زا است. این نوع از تمرین(ذهن-آگاهی)  می تواند  ذهن را ماهرتر کرده و حس تمرکز و تندرستی را پرورش دهد که به آن در حفظ کنترل و هشیاری افکار و احساساتشان و حضورشان در زمان حال کمک می کند.

تجارب دیگر

علاقه رو به رشد در این زمینه در کاتالوگ دوره هاروارد منعکس شده است. این بهار، لازار در حال تعلیم علوم اعصاب شناختی مراقبه است. ازر ویبرا  دوره آغازین مخصوص جدیدالورود ها یعنی دوره نویسندگی درمورد “بودایسم ذهن آگاهی و تمرین ذهن” و متا مکگراوی “ذهن آگاهی برای مربیان” در مدرسه فارغ التحصیلان در بخش تحصیل را هدایت می کند. به دلیل تقاضای زیاد، مک گراوی، دکترای روانشناسی و تکامل انسان، یک کارگاه آموزشی سه روزه برای مربیان برگزار می کند که در این کارگاه ابزارهایی برای افزایش تمرکز از طریق تنفس و ورزش های آموزنده ی شفقت نسبت به خود را ارائه می دهد. مک گراوی می گوید: بسیاری از آن ها در شرایطی بسیار سخت، توام با انواع فشارها  کار می کنند. نرخ فرسودگی در بعضی از محیط های چالش برانگیز بسیار زیاد است. عایشه هود، یک افسر پلیس از بالتیمور که علاقه مند به اداره یک مرکز مراقبت روزانه است، در پاییز امسال در کارگاه مک گراوی حضور یافت و آن را مفید دانست. او می گوید: “به عنوان یک افسر پلیس، من در استرس زیاد زندگی میکنم و به عنوان یک خدمتگزار دولتی، من نسبت به خودم بی توجه هستم. من می خواهم خودم را آرام کنم و در مورد آن آگاهی داشته باشم.”

کریستین اوچونسسی، مدیر اجرایی سابق سرمایه گذاری که کارگاه های آموزشی را در هاروارد رهبری می کند، می گوید: “همه روزه ما با رسانه های اجتماعی، همکاران، کار، کودکان و غیره اشباع شده ایم. ما وقتی برای خود نداریم که آن را در محیط آرام صرف کنیم. اما (معتقدم) اگر حداقل یکبار در روز تمرین کنید، روز خوبی خواهید داشت.”

خطاب به کسانی که هنوز ذهن_آگاهی را یک فعالیت  بی معنی می دانند، اوچونسسی یک عبارت چهارکلمه ای بیان می دارد: یک بار امتحان کنید! هنگامی که او در سال ۱۹۹۹ برای یک کارگاه آموزشی ذهن آگاهی ثبت نام کرد، او نیز نسبت به سودمندی این فعالیت شک داشته است. اما هنگامی که او دریافت که آرام تر شده است و استرسش نیز کاهش یافته است نظرش نسبت به این موضوع تغییرکرد. در نهایت او از شغل خود استعفا داد و یک مربی آموزش ذهن آگاهی شد (او به تازگی یک برنامه کاربردی برای مراقبه رایگان راه اندازی کرده است).

او می گوید: ” انجام دادن ذهن آگاهی مانند یک برنامه تناسب اندام برای مغز شما است. که مغز شما را سالم نگه می دارد.”

[۱] mindfulness-based meditation
[۲] mindfulness-based cognitive therapy,
[۳] interoception
[۴] self-rumination
[۵] transcendental meditation
[۶] The Relaxation Response,
[۷] Massachusetts General Hospital
 
[۸] Compassion
[۹] Compassion meditation
[۱۰] cognitive behavioral therapy
[۱۱] expectation and performance.

ترجمه: دکتر آیرین نجفی – وبسایت نوروسافاری

لینک قسمت اول:

When science meets mindfulness

لینک قسمت دوم:

With mindfulness, life’s in the moment

همچنین ببینید

دوره آموزشی پایتون از صفر (دوره ۳۲)

نوروسافاری | موسسه دانش بنیان آینده مغز، دوره جدید آموزش پایتون مقدماتی برگزار می کند: …

۵ comments

  1. مطلب بسیار خوبی بود.ممنون

  2. ببخشید، لینک مطلب کار نمیکنه میشه راهنمایی کنید چطوری میتونم لینک رو به اشتراک بذارم؟

    • دکتر میر شهرام صفری | Dr. Mir Shahram Safari

      منظورتون کدام لینک هست؟ لینک مقاله یا خبر؟

  3. کاملا درست و صحیح بود متشکر

دیدگاهتان را بنویسید

نشانی ایمیل شما منتشر نخواهد شد. بخش‌های موردنیاز علامت‌گذاری شده‌اند *