با یادگیری ماشین آلزایمر را ۶ سال زودتر از پزشکان تشخیص دهید

Rate this post

نوروسافاری | پژوهشگران انگلیسی، نوعی الگوریتم یادگیری ماشین ابداع کرده‌اند که می‌تواند آلزایمر را شش سال زودتر از پزشکان تشخیص دهد.
پژوهشگران، نوعی الگوریتم یادگیری عمیق طراحی کرده‌اند که می‌تواند آغاز آلزایمر را تا شش سال زودتر از پزشکان تشخیص دهد. ابداع این الگوریتم، بخشی از پروژه فناوری یادگیری ماشین برای تشخیص الگوهای تصویربرداری پزشکی محسوب می‌شود.

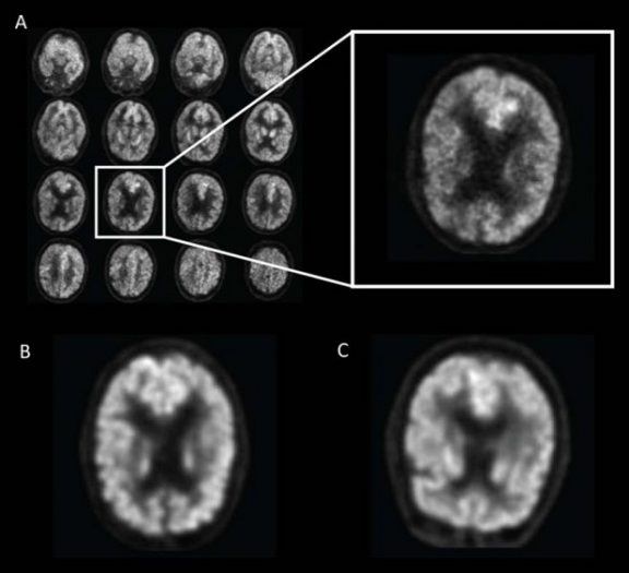
یکی از ابزارهایی که در حال حاضر برای تشخیص آغاز آلزایمر کاربرد دارد، نوعی اسکن مغزی موسوم به “پت‌اسکن” (PET scan) است. در گذشته از این روش برای شناسایی انواع سرطان استفاده می‌شد اما در سال‌های اخیر، کارآیی آن در تشخیص آلزایمر نیز اثبات شده است.

به گزارش نوروسافاری از انجمن رادیولوژی امریکای شمالی، پژوهشگران “کالج دانشگاهی لندن” (UCL) در این بررسی جدید، یک الگوریتم یادگیری ماشین را برای ارزیابی اسکن‌ها آموزش دادند. “جائه هو سون” (Jae Ho Sohn)، از نویسندگان این پژوهش گفت: فناوری یادگیری عمیق می‌تواند الگوهای فرعی بیشتری را در داده‌های تصویربرداری نشان دهد. تفاوت در الگوی جذب گلوکز در مغز، بسیار ظریف و پویا است. یافتن زیست‌نشانگرهای مربوط به بیماری، کار ساده‌ای است اما تغییرات متابولیک می‌توانند فرآیند جامع‌تری ارائه دهند.

الگوریتم برتر از رادیولوژیست‌ها

پژوهشگران، این الگوریتم را روی مجموعه‌ای از اسکن‌های مغزی مورد بررسی قرار دادند و الگوریتم توانست همه موارد موثر بر پیشرفت آلزایمر را تشخیص دهد. از این نظر، الگوریتم به طور قابل توجهی از رادیولوژیست‌های انسانی، برتر بود.

“جان هاردی” (John Hardy)، از پژوهشگران این پروژه گفت: مجموعه داده‌های ما در این بررسی، محدود است و تنها اطلاعات مربوط به ۴۰ نفر را در بر دارد. در نتیجه، موارد مشخص شده در مورد همه مردم صدق نمی‌کنند و نمی‌توان آنها را به همه بیماران تعمیم داد.

بیشتر بدانید:  تشخیص آلزایمر با آزمایش خون

البته “پت‌اسکن” در دسترس بیشتر بیماران قرار ندارد؛ در نتیجه این فناوری جدید با وجود تاثیرگذار بودن در سطح دانشگاهی، کارآیی لازم را برای تشخیص بهتر بیماری شامل نمی‌شود.

این پژوهش، در مجله ” Radiology” به چاپ رسیده است:

A Deep Learning Model to Predict a Diagnosis of Alzheimer Disease by Using 18F-FDG PET of the Brain

گزارش خبری:

AI Predicts Alzheimers Years Before Diagnosis

همچنین ببینید

دوره آموزشی پایتون از صفر (دوره ۳۲)

نوروسافاری | موسسه دانش بنیان آینده مغز، دوره جدید آموزش پایتون مقدماتی برگزار می کند: …

دیدگاهتان را بنویسید

نشانی ایمیل شما منتشر نخواهد شد. بخش‌های موردنیاز علامت‌گذاری شده‌اند *